虫歯治療

当院は「痛くない治療と自分の歯で一生食べられること」を理念とし、確かな診断・技術・最新設備で患者様が快適に治療を受けられる環境を整えております。マイクロスコープやレーザー等を使い、虫歯治療も患者様にとって負担の少ない治療法で行い、歯の神経や歯自体をできるだけ残すように心がけています。また、虫歯・歯肉炎・歯周病に対する予防にも力に力を入れ、機械的歯面清掃(PMTC)やブラッシング指導、生活習慣の指導を行っています。当院ではほとんどの治療が保険診療ですが、一部自費治療の取り扱いもございます。ご興味のある方は、当歯科医師にご相談ください。
被せ物


当院では、被せ物(クラウンやブリッジ)を利用して、虫歯や歯の損傷、形態の修復などを行います。被せ物は天然歯に近い見た目と感触を再現することができ、自然な笑顔を取り戻すのに役立ちます。当院では、患者様一人一人の状態に合わせて、最適な被せ物の選択と治療計画を提案しています。素材の選択肢としては、耐久性と審美性に優れたセラミックやジルコニアなどがあります。また、CAD/CAMを導入しており、高精度な被せ物の製作が可能です。
精密根幹治療


当院ではマイクロスコープを用いた精密根幹治療を保険診療で行なっています。歯根の中にある細菌や炎症を取り除き、重度の虫歯を抜歯することなく治療をすることも可能です。また、精密根幹治療によって、歯周病や虫歯などの病気の進行を防止し、健康な歯を維持することができます。当院では、精密根幹治療に最新の技術を取り入れ、患者様の歯の健康を守るために努めています。患者様に合わせた最適な治療方法を提供し、歯の健康をお守りします。
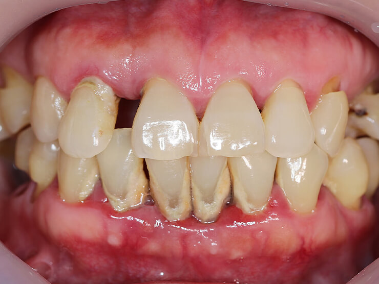
歯周病治療


歯周病は、歯周組織の炎症によって引き起こされる歯科疾患です。歯周病は進行すると歯を失う原因となるため、早期の発見と適切な治療が必要です。当院では軽度〜重度の歯周病治療を多く手がけており、患者さまの症状や病状に合わせて個別に処置を行います。治療は主にレーザーを用いて行なっており、麻酔を用いずに処置をすることも可能です。
また、予後は定期的なメンテナンスが非常に大切です。歯周病は再発する可能性があるため、定期的な検診やクリーニングを受けることが重要となってきます。患者さまお一人おひとりに合わせた治療を行い、歯周病の進行を止め、健康な歯と歯周組織を保つことを目指しています。お口の健康管理にお悩みの方は、ぜひ一度ご相談ください。
予防歯科
当歯科医院では、予防歯科に力を入れており、患者様の口腔健康を維持するために様々な予防策を提供しています。
まずは、ブラッシング指導や歯垢・歯石の除去を定期的に行うことが重要です。歯垢や歯石は、口腔内に菌が繁殖し、虫歯や歯周病の原因となるため、定期的なクリーニングは必要不可欠です。また、口腔内の状態を定期的にチェックすることも大切です。定期的な口腔検診によって、早期発見・早期治療が可能となります。歯や歯茎の異常を発見した場合は、早めに治療を行うことで、症状を悪化させる前に改善することができます。
顎関節症・歯軋りの治療


顎関節症や睡眠中の歯軋りでお困りの方はぜひ当院にご相談ください。近年、顎関節症を患っている方が多くご来院されております。アゴや耳の付け根に痛みを感じる・音がする・口が開かない・偏頭痛や肩こりがあるなど、症状は様々です。専門知識と経験をしっかり持ち、治療を行える歯科医院は決して多くありません。当院では顎関節症治療を長年行っており、実績も豊富です。
また、睡眠中の歯軋りについてはマウスピースの製作を行なっています。歯軋りによって睡眠障害だけでなく、大切な歯が削れ、それによって顎関節症が引き起こされる可能性もあります。出来るだけ早期の処置を推奨いたします。
スポーツマウスピース
ボクシングや空手などの格闘技、ラグビーやアメリカンフットボールなどで使うスポーツマウスピースの製作も行なっています。当院取り扱いのマウスピースはプロが使用するレベルのマウスピースを取り扱っています。数千円程度のマウスピースでは素材が悪い場合が殆どで、当院では推奨致していません。当院で提供するマウスピースは¥35,000-で製作を承っております。比較的費用は高くなってしまいますが、高い堅牢性を誇り、信頼できる素材を使ったプロユースのマウスピースです。
