歯の病的移動
歯は年齢とともに虫歯はになったり歯槽膿漏をなったりしますますが、歯も動いて行くのです。
中高年の前歯が唇からひょっこりと顔を出しているところを見たことがありせんか。
これは歯の病的移動なのです。
この原因には歯周病による支持骨の減少、
口唇や舌の力の変化、
歯列内での歯の連続性の喪失、
臼歯部の咬合崩壊によりかかる前方への大きな力、
歯ぎしりや食いしばり
などが挙げられます
歯は顎の構造上近心(手前側)に傾斜移動してきます。
そうすると、前歯にしわ寄せがきて前歯の歯並びが悪くなります。
前歯の突き上げ
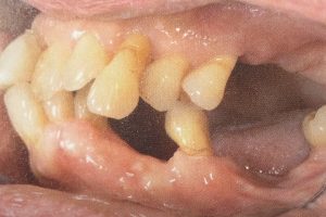
歯並びが悪くなると下の前歯が上の歯を突き上げてくるようになり、上の前歯は前に突出し開いてきます。
前歯の負担過重
前歯に負担過重が起こると歯槽膿漏も進んで、歯の動揺もでてきます。
この様なかたちで、抜歯になるケースが多々あります。
抜歯にならないようにするためには
矯正をして、近心傾斜した歯を起こして元の位置に戻すことが理想です。
墨田区内でも矯正をしている歯医者さんはいますので、ご自分に合った歯医者さんを見つけましょう。
墨田区の本所吾妻橋、押上、曳舟、東向島、八広、東あずま、小村井周辺にお住まいの方、
歯でお困りの方はおそざわ歯科へ

