お子様が小帯付着異常と言われたら
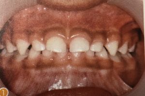
上唇小帯の異常
上唇小帯は、生まれた時は大きく、付着部も歯槽頂近くになりますが、乳歯の萌出に伴い通常は退縮します。
プラークが停滞しやすく、ブラッシングが行いにくくなるため、上唇小帯を避けながらブラッシングを指導するとともに、上唇を下方に伸ばす、口唇をすぼめ収縮させるトレーニングを積極的に行います。
上唇小帯を切除するかどうかは、前歯の永久歯の萌出後に決めます。
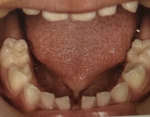
舌小帯異常
舌小帯異常では、授乳困難な場合を除き、3から4歳ごろに切除術の適用を判断するために舌の基礎的な運動機能を確認します。この際、舌の運動障害や発音障害が確認される場合は舌小帯切除術を行います。
上唇小帯への対応
上唇小帯は出生児には大きく、付着部も歯槽上部の近くになりますが、乳歯の萌出に伴い、通常は退縮します。乳歯列が完成する時期を過ぎても、上唇小帯の肥厚や付着異常により乳中切歯間に隙間が認められる場合は、6から7歳の永久歯放出後に改めて診断し、上唇小帯の切除の判断をします。上唇小帯が歯冠側に付着している場合は上唇の伸展や運動が阻害されるため、口唇の閉鎖不全を引き起こすことがあります。
舌小帯への対応
舌小帯の短縮や付着異常があると、舌の動きが抑制され、哺乳、咀嚼、エンゲ、発音時に舌の運動機能障害を引き起こします。舌の挙上が難しいため、舌の前方突出と低位舌の原因となり、エンゲ時に下顎前歯が前方に押され歯並びにも影響があります。
新生児期に授乳困難な場合には、出産後すぐに舌小帯手術を行うかどうかを判断するために、機能の検査も兼ねて舌の基礎的な運動機能を確認します。この審査は舌を前に出す、舌を左右に動かす、舌と口蓋でポンと音を鳴らすことで、幼児期の子供でも行えます。中にはこの運動を行うことで、舌小帯の伸展が見られ、手術が必要なくなる場合があります。
この時、舌に著しい運動障害が確認される場合は、舌小帯切除術を行った方が良いです。また舌小帯切除術を必要とする場合でも、この審査を行うことが術前の舌挙上トレーニングになり、舌小帯の伸展と術後の瘢痕化防止の効果が期待できます。
舌小帯の付着異常による咀嚼嚥下障害
摂食機能の習熟期に、舌小帯が短いことで舌を左右にうまく動かせないと食べ物の塊を臼歯に送ることができないため、咀嚼運動が適切にできなくなります。このような場合では、舌を口蓋に挙上できない代わりに嚥下時に舌を前方に突出してしまいます。
発音障害
舌小帯付着異常があると、構音が完成する5歳から6歳ごろまでに発音がうまく獲得されないことがあります。
具体的には舌尖を用いて発音する さ、た、な、ら行などが舌足らずな発音になります。
発音の障害は機能面だけではなく、友達との会話にも消極的になってしまい精神的にも影響する場合があります。
まずは舌正体を伸展させるトレーニングや切除1週間後に舌の挙上訓練と舌筋の強化を行い、舌の運動範囲を広げていきます。これにより舌小帯付着異常による発音障害の改善が期待できます。
学童期 の 舌小帯付着異常
乳児で授乳困難な場合には通常、出産後すぐに切除が行われますが、最適な時期は就学前の5から6歳ごろと言われています。
その理由は正しい発音をするためには、舌の運動が重要であり、言語発達の面からさ行、ら行がほぼ完成する5から6歳までに舌小帯切除術を行い、舌の運動範囲を広げて口腔環境を改善する必要があるからです。
低学年の子供の場合、恐怖心などからなかなか手術の決心がつかないこともあります。
そのような場合には、子供の協力の得られる年齢まで経過観察を行います。舌小帯付着異常は、小学校の歯科検診においても見過ごされることがあり、高学年まで舌小帯付着異常に気づかれないことも多いようです。
高学年の子供は、舌小帯付着異常による発音や食塊形成などへの影響を説明すると理解してもらえます。理解が得られれば問題なく切除術を行うことができます。
舌小帯切除術前後の指導
舌小帯付着異常の舌は、発音や嚥下時に舌尖の運動が制限され、習慣的に舌を挙上しない状態が続いています。
そのため、舌小帯切除術で舌の運動範囲を大きくして機能的な改善を図りますが、舌の正常な働きを獲得するためには、術前後に舌挙上訓練が必要となります。その内容は舌のコントロール、舌小帯の伸展、舌を挙上する筋力強化の練習を中心に構成します。
舌小帯切除術後の訓練は、抜糸後に痛みがなければ開始し、安静時の舌位や正しい嚥下パターンを舌挙上訓練に加えて指導します。
軽度の舌小帯付着異常の場合、舌挙上訓練により舌小帯が十分に伸展すれば、舌小帯切除術を行わないこともあります。
学童期の子供の訓練は、保護者の協力が不可欠となりますので、保護者への説明も必要です。
食べ物と舌や歯の機能があっていないと、窒息事故は起こる
窒息事故を起こ起こしやすいのは、高齢者のほかに乳幼児や子供です。
子供の窒息と言えば、こんにゃくゼリーを食べてなくなった痛ましい事故が頭に浮かびます。
こういった事故によってこんにゃくゼリーは一躍悪者になりましたが、決してこんにゃくゼリーが悪いわけでは無いのです。
それが証拠に窒息事故を全体で見ると、喉に詰まらせた食べ物の上好には、もち、ご飯、パンなど。
こんにゃくゼリーは窒息事故全体の割合から見れば、ごくわずかです。
こんにゃくゼリーの場合、あの独特な弾力が子供やお年寄りにとっては、かみにくさ、飲み込みにくさにつながります。よって舌や歯などの機能が発達した大人が食べるものには問題ありません。
つまり、窒息事故の原因は食べ物そのものではなく、その人の咀嚼機能や嚥下機能に合っていないことにあります。
墨田区、押上、曳舟、京島、東向島、向島、八広、文花、立花 周辺で、歯医者をお探しなら
おそざわ歯科へ



