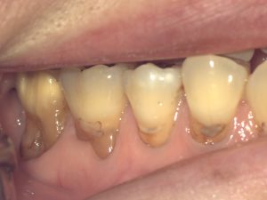
アブフラクションとは
アブフラクションとは、歯に横や斜めの咬合力がかかり、歯に歪みが生じ、歯頚部に応力の集中が起こり、歯の硬組織が破壊され、えぐれた状態(きつ状欠損)が生じる事です。
このアブフラクションの好発部位は、上の歯の犬歯、小臼歯の表側の歯の根元に多く現れます。
また、下の歯の臼歯や上下の歯の内側の歯の根元にも現れます。
このアブフラクションや歯の磨耗がある方は、歯がしっかりしている方が多いようです。
歯周病の原因にも
横に加わる力が、それが誘引となり歯周病が進み、歯の動揺や骨吸収につながる場合があります。
治療はコンポジットレジンで修復治療し、かみ合わせの調整をしていきます。
噛みしめが強い方は、マウスピースを装着することが良いでしょう。
虫歯の原因にも
また、アブフラクションは歯と歯の間に起こることもあり、細菌に汚染されれば虫歯にもなっていきます。
墨田区、押上、曳舟周辺にお住まいの方
歯科のことならおそざわ歯科へご相談ください。


