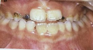
反対咬合とは
皆さんのお子さんの口の中を見てください。
上顎と下顎が逆になっていませんか?
逆になっていたら反対咬合といわれるものです。
不正咬合のうち、反対咬合は特に成長に大きく関与し顔貌にも大きな変化を及ぼします。
反対咬合は以下のように分類することができます。
1 機能性の反対咬合
2 歯性の反対咬合を
3 骨格性の反対咬合
4 複合型の反対咬合
中でも、機能性反対咬合ではマイナスの機能の有無を検査する必要があります。
機能性反対咬合の原因は1つだけではありません。
それを発症させている全てのマイナスの機能を取り除かなければなりません。
機能性反対咬合とは、
1 乳犬歯が早期に接触して下の顎を前方に誘 導する。
2 ぶくぶくうがいをするときに、下の顎の前方に水を含んで下の顎を出してうがいをしてしまうなど下顎を前方移動させる筋機能がある。
3 低位舌でオトガイ舌筋が下の顎を前方に誘導する。
などがあります。
反対咬合の自然治癒
反対咬合は発見しやすい不正咬合であり、自然に治癒する場合もあります。
一歳半で不正咬合を発症した子供は53%ですが、五歳では38%と減少し、約15%が改善しています。
反対咬合でも一歳半で発症した子供は16%ですが5歳では6%と減少しています。
反対咬合の自然治癒は、それを発症させた不正な外力が改善された結果だといえます。
言い換えれば乳幼児期の反対咬合の多くは、機能性反対咬合であるといえます。
顎関節の成長発育
顎関節の成長発育を見ると、乳歯列期では関節結節はやや平坦で、下顎窩は浅く、下顎窩最深点から関節結節までの傾斜角度は緩やかな形態になっています。
関節頭は容易に移動しやすい形態で、下顎体も同様に移動できます。
機能性反対咬合は、下顎体が前方移動している状態です。
成長過程における関節結節と下顎窩の解剖学的形態の変化から鑑みても、反対咬合はできるだけ早期に治療を開始すべきでしょう。
乳幼児期の骨格性の反対咬合は稀であり、多くは機能性反対咬合です。
下顎体が前方に移動するトリガーがあれば、下顎体は機能的に前方へ移動すると考えられます。
負のトリガーが解消されれば、機能性反対咬合は改善されるのです。
次回は、反対咬合の治療法を述べてみたいと思います。
墨田区、押上、曳舟、八広、向島、文花、立花周辺で歯医者をお探しなら
おそざわ歯科へ


