BLOGブログ


Warning: Undefined variable $description_title in /home/obaketest/obake-yashiki.monster/public_html/osozawa-dental.obake-yashiki.monster/wp-content/themes/template/inc/content-post.php on line 86
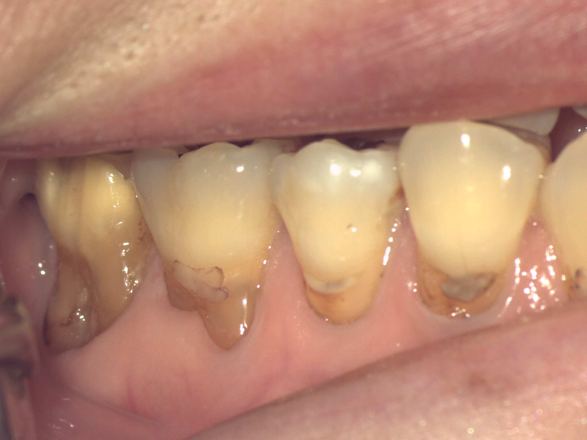
歯周病のお話

歯周病のお話